Výpočet ztráty okostice zubu
Okostice zubu je tenká, ale pevná vrstva kosti obklopující kořen zubu. Je klíčová pro stabilitu zubu a při výrobě metalokeramické korunky.
Okostice zubu je tenká, ale výjimečně pevná vrstva kosti, která obklopuje kořen zubu a udržuje ho pevně v čelisti. Nejde o běžnou kost, ale o specializovanou tkáň s vysokou hustotou minerálů - především vápníku a fosforu. Tato vrstva je klíčová pro stabilitu zubu, a když je poškozena, může vést k jeho ztrátě. Při výrobě metalokeramické korunky, která je jednou z nejčastějších zubních protéz, je stav okostice zubu rozhodující pro úspěch léčby.
Co se skrývá pod pojmem okostice zubu?
Okostice zubu (zvaná také alveolární kost) není jen „podklad“ pro zub. Je to aktivní tkáň, která se průběžně přestavuje. Když zub působí tlak při žvýkání, okostice reaguje - některé buňky ji rozkládají, jiné ji budují znovu. Tento proces se říká remodelace. Pokud zub vypadne a není nahrazen protézou, okostice začne rychle mizet. Během prvních šesti měsíců může ztratit až 40 % své původní objemové hmotnosti. To je důvod, proč je důležité co nejdříve řešit chybějící zub.
V případě metalokeramické korunky, která se používá na poškozený, ale stále živý zub, je okostice zubu nezbytná pro přenos zátěže. Korunka přenáší síly z žvýkání zpět na kořen zubu, který je zasazen v okostici. Pokud by okostice byla slabá nebo poškozená, celá konstrukce by mohla být nestabilní - a to i přes to, že korunka je vyrobena z kovu a keramiky, které jsou samy o sobě velmi pevné.
Proč metalokeramická korunka závisí na okostici?
Metalokeramická korunka se skládá ze dvou hlavních částí: vnitřní kovové jádro (obvykle z chromo-kobaltu nebo zlata) a vnější keramické vrstvy, která vypadá jako přirozený zub. Když se korunka připevňuje k zubu, nezakládá se jen na zubní tkáni - její stabilita vychází z kořene, který je pevně uložený v okostici.
Pokud by okostice byla vypálena (například kvůli dlouhodobému zánětu nebo parodontitidě), zub začne být „volný“. I když korunka vypadá perfektně, může se pohybovat, pukat nebo se odlepovat. V extrémních případech se celý zub s korunkou může vysunout z dásně. To se stává častěji, než si lidé myslí - a často je přičítáno „špatné kvalitě korunky“, když ve skutečnosti je příčinou poškozená okostice.
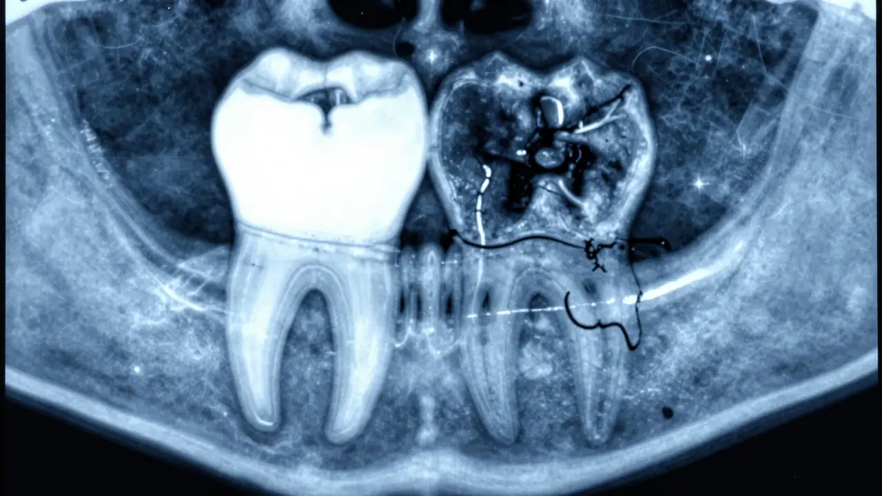
Stav okostice se kontroluje pomocí panoramového snímku nebo 3D tomografie. Dentisté hledají tři hlavní znaky:
- Hustota kosti kolem kořene - zdravá okostice je bílá a hustá na snímku
- Šířka kostního základu - pokud je užší než 2 mm, hrozí riziko selhání
- Průběh hranice mezi kostí a zubem - zdravá mez je ostrá, poškozená je rozmazaná nebo „vypálená“
Co se děje, když okostice zubu zanikne?
Pokud zub ztratíte a nezaměníte ho protézou, okostice se začne resorbovat. Tento proces je nevratný. Po pěti letech může být ztraceno až 70 % původní kostní hmoty. To má dva důsledky:
- Ztráta podpory pro sousední zuby - když není kost mezi zuby, mohou se přesouvat, vznikají mezery a zubní řada se deformuje.
- Nemožnost následné implantace - pokud chcete v budoucnu vložit zubní implantát, potřebujete dostatek kosti. Pokud jí není, musíte nejdříve provést kostruční transplantaci, což je náročná a drahá procedura.
Proto je důležité nejen zachovat zub, ale i jeho okostici. Metalokeramická korunka není jen estetické řešení - je to ochranný mechanismus, který udržuje kost v životě. Když se korunka pevně přilepí k zubu, působí jako „středník“ mezi zátěží a kostí - podobně jako když držíte kladivo v ruce. Bez okostice by kladivo padlo na zem.
Jak zkontrolovat stav okostice zubu?
Nejlepší způsob, jak zjistit, zda je vaše okostice zdravá, je digitální rentgenový snímek. Moderní dentální tomografie (CBCT) ukazuje kostní strukturu v 3D. Vizualizuje:
- Objem kosti kolem každého kořene
- Přítomnost zánětu nebo infekce
- Stupeň resorpce
V praxi to znamená: pokud máte metalokeramickou korunku, která vám slouží více než 10 let, měli byste ji každých 2-3 roky zkontrolovat pomocí tomografie. Většina lidí si to nechávají dělat jen při bolesti - ale už v té době může být kost poškozená trvale.
Pokud máte zánět dásní, krvácení při čištění nebo citlivost na studené, není to jen „zubní káva“. To může být první příznak, že okostice zubu se rozpadá. Parodontitida je nejčastější příčina ztráty okostice - a je často neviditelná, dokud není pozdě.
Co můžete udělat, abyste ochránili okostici zubu?
Chcete-li udržet okostice zubu v dobrém stavu, potřebujete tři základní kroky:
- Pravidelné čištění - čistěte zuby dvakrát denně, používejte zubní nit a čistěte i mezery mezi zuby. Důležité je, aby zubní pasta obsahovala fluor a byla odporová proti zánětu.
- Pravidelné kontroly - navštěvujte zubaře každých 6 měsíců, i když nemáte bolest. Zubař může odhalit počáteční ztrátu kosti, kterou vy nevidíte.
- Nehledejte „rychlé řešení“ - pokud vám zub bolí, neodstraňujte ho hned. Zkuste nejdříve léčbu kořene, zásyp nebo korunku. Záchování zubu znamená záchování okostice.
Pokud už jste ztratili zub, je čas přemýšlet o zubní implantaci. Implantát nahrazuje nejen zub, ale i kořen - a tím stimuluje okostici, aby se neztrácela. To je důvod, proč implantace je v mnoha případech lepší volbou než most nebo částečná náhrada.
Co když už máte metalokeramickou korunku - co dál?
Nejčastější chyba lidí je myslet, že „když je korunka na zubě, už se nic neděje“. To není pravda. Korunka chrání zub, ale neochraňuje okostici. Pokud se pod ní vytvoří zánět, zub se může „zakyslit“ - a okostice začne mizet. Výsledkem je, že korunka se může přesunout, zub se může otřást, nebo se může vysunout z dásně.
Proto je důležité:
- Při každé kontrole nechat zubaře zkontrolovat i oblast pod korunkou
- Používat speciální zubní kartáčky pro čištění pod korunkami
- Přemýšlet o zubním ultrazvukovém čištění, které odstraňuje zánětlivé bakterie
Je-li okostice v pořádku, metalokeramická korunka vám může sloužit 15-20 let. Pokud je okostice poškozená, může selhat již za 5 let - a pak je náhrada drahá a složitá.
Okostice zubu - skrytý nositel vaší úsměvného přírodního zubu
Okostice zubu není jen „podklad“. Je to živý, dynamický systém, který udržuje vaše zuby na místě, umožňuje vám žvýkat, mluvit a usmívat se bez obav. Když ztrácíte zub, ztrácíte nejen jeho vzhled - ztrácíte i kost, která ho drží. A když ztrácíte kost, ztrácíte možnost budoucí léčby.
Metalokeramická korunka není jen „plastický přístroj“. Je to způsob, jak zachovat životní funkci zubu - a tím i jeho kostní základ. Nezabývejte se jen estetikou. Zaměřte se na to, co je pod ní. Protože to, co nevidíte, je to, co vás skutečně drží.
Je okostice zubu stejná jako kost čelisti?
Ne, nejsou to stejné věci. Kost čelisti je celková kostní struktura, která tvoří horní a dolní čelist. Okostice zubu je jen tenká vrstva této kosti, která přímo obklopuje kořen zubu. Je to jako obal, který drží zub na místě. Když zub vypadne, okostice zaniká, ale zbytek čelisti zůstává - až do doby, než se i ona začne resorbovat.
Může okostice zubu regenerovat sama?
Ano, ale jen v omezené míře. Když je zub v pořádku a působí na něj normální zátěž (žvýkání), okostice se obnovuje. Pokud ale zub chybí nebo je poškozený, okostice začne mizet - a sama se nevrátí. K obnově potřebujete buď implantát, který stimuluje kost, nebo chirurgický zásah s kostním přípravkem. Bez zásahu je ztráta kosti nevratná.
Je možné dělat metalokeramickou korunku i na zubu s poškozenou okosticí?
Technicky ano - ale není to bezpečné. Pokud je okostice značně poškozená, korunka může být nestabilní, může se otřást, puknout nebo se vysunout. Zubaři v takových případech radí nejprve léčit zánět, zvýšit kost (pokud je to možné) nebo zvážit jinou možnost, jako je implantát. Naléhavě neodporučují korunku na zubu, který „visí“ v dásni.
Jak dlouho trvá, než se okostice zubu ztratí po odstranění zubu?
První značná ztráta nastává během prvních 3-6 měsíců. Během prvního roku může být ztraceno 20-40 % kosti. Po 3 letech se ztrácí až 60-70 %. To je důvod, proč se doporučuje nahradit chybějící zub do 6 měsíců - ideálně do 3 měsíců. Čím dříve, tím lépe.
Je okostice zubu důležitá i při implantaci?
Ano, je to klíčové. Zubní implantát je šroub, který se vkládá do kosti. Aby fungoval, musí být kost kolem něj dostatečně hustá a silná. Pokud je okostice ztracena, implantát nemá, o čem se „uchovit“. V takovém případě se musí nejdříve provést transplantace kosti - což zvyšuje náklady a dobu léčby. Implantát neznamená „náhradu bez podkladu“ - on potřebuje pevný základ, kterým je právě okostice.