Kalkulačka pro odhad trvání léčby fixními rovnátky
Tato kalkulačka odhaduje průměrnou dobu léčby fixními rovnátky na základě závažnosti případu a věku. Trvání léčby se může lišit v závislosti na jednotlivých případech.
Odhad trvání léčby
Průměrná doba léčby:
Poznámka: Toto je pouze odhad. Trvání léčby může být odlišné v závislosti na:
- Typu problému s úsměvem
- Stupeň spolupráce s používáním gumiček
- Pravidelnosti návštěv u ortodonty
Fixní rovnátka nejsou jen kovové dráty a závěsy na zubech - jsou to přesně nakalibrované zařízení, která pomalu, ale jistě přemisťují zuby do správné polohy. Pokud se ptáte, jak to vlastně funguje, když se vám zuby vůbec nehnou, když je jen tak držíte v ruce, odpověď je jednoduchá: tělo se přizpůsobuje. A fixní rovnátka to využívají jako svůj nejlepší nástroj.
Co se děje pod povrchem?
Když si na zuby nasadíte fixní rovnátka, nejprve se na každý zub přilepí malá kovová nebo keramická plechovka - tzv. bracket. K této plechovce se připojí tenký kovový drát, který probíhá celou řadou zubů. Ten drát je klíč. Není jen tak natažený - je navržený tak, aby na zuby působil stálou, jemnou tlakovou silou.
Tato síla není silná, ale trvalá. A právě to je ta hlavní magie. Když zub začne pod tlakem pomalu posouvat, tělo na to reaguje. V kosti kolem kořene zubu se začnou aktivovat buňky, které kost rozkládají (osteoklasty) a jiné, které ji staví znovu (osteoblasty). Zub se tak přesouvá skrze kost, jako by šel po pískové dráze, která se pod ním mění. Na jedné straně kost klesá, na druhé se nová kost vytváří. Je to jako kdybyste postupně přestavovali dům - nezničíte ho, ale přesunete jeho základy.
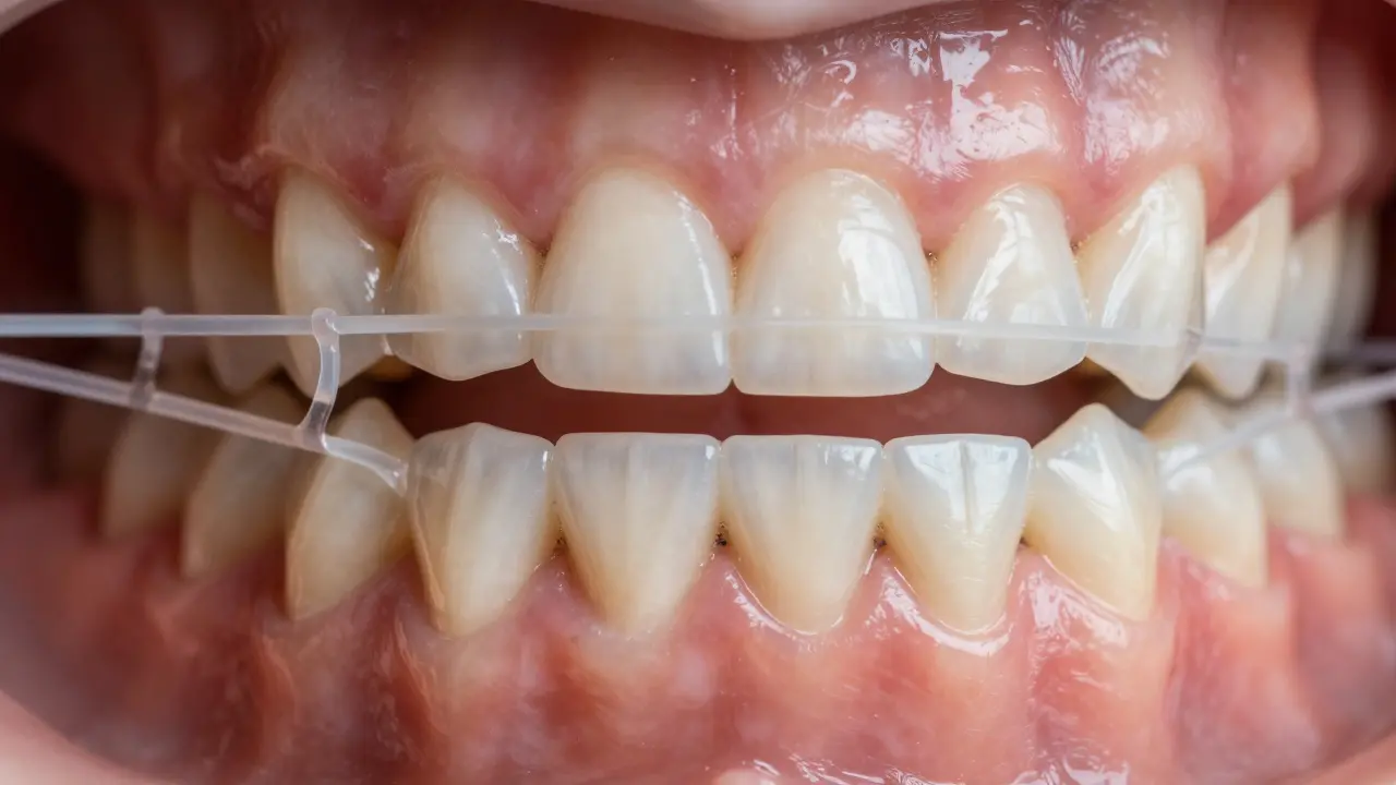
Co dělají gumičky na rovnátka?
Gumičky na rovnátka jsou malé, ale mocné. Jsou to elastické kroužky, které se připevňují mezi horní a dolní zubní řadu. Nejsou jen pro estetiku - mají jednu hlavní úlohu: napravit příkryt. Pokud máte překrytí, kdy horní zuby překrývají dolní příliš moc, nebo naopak - dolní zuby jsou před horními - gumičky to korigují.
Představte si, že horní a dolní řada jsou dvě sestry, které se nesnášejí. Gumička je jako malý vůdce, který je přiměje, aby se přiblížily. Když je připevníte mezi horního druhého zubu a dolního čtvrtého, tvoříte silovou linku, která pomalu přetáhne celou řadu do správného vztahu. Tyto gumičky se mění každý den nebo každý druhý den, protože se rychle unavují a ztrácejí sílu.
Nejčastější případy, kdy se používají: překrytí, otevřený příkryt, kdy zuby vůbec nespočívají, nebo příčný příkryt, kdy jedny zuby jsou uvnitř druhých. Bez gumiček by rovnátka mohla vyrovnat zuby, ale neopravila by příkryt - a ten je klíčový pro správné žvýkání, řeč a i pro dlouhodobé zdraví kloubů čelisti.
Proč je potřeba tolik návštěv u ortodonty?
Když si myslíte, že po nasazení rovnátek už je všechno hotové, tak to není pravda. Návštěvy každých 4-8 týdnů nejsou jen pro kontrolu - jsou pro úpravu. Drát se s časem uvolňuje, gumičky se přetahují, zuby se posouvají a potřebují nový směr.
Na každé návštěvě ortodont změní sílu drátu, případně ho nahradí silnějším nebo tenčím. Někdy přidá další pružiny, někdy upraví gumičky. Všechno je plánované. Například: v prvních týdnech se zaměří na otevření místa mezi zuby, pak se přesune na jejich rotaci, a až nakonec na dokonalý příkryt. Každý krok je jako krok po schodech - nesmíte přeskočit žádný.
Ve většině případů trvá celý proces 18-24 měsíců. Někdo to má rychleji, někdo pomaleji. Záleží na složitosti případu, věku, spolupráci a i na tom, jak často si člověk mění gumičky. Pokud je zapomene a nechá je na měsíc, proces se zpomalí o týdny.
Co se stane, když rovnátka sundáte?
Největší chyba, kterou lidé dělají, je sundat rovnátka a myslet si, že je to konec. Zuby mají tendenci se vrátit zpět - to se jmenuje recidiva. Proto je potřeba nosit retentory - držáky, které udržují zuby na místě.
Nejprve se nosí pevný retentor na vnitřní stranu zubů (zadní strana předních zubů), který je přilepený a neviditelný. Poté se doporučuje nosit i vyjímatelný retentor - obvykle v noci. Někteří lidé nosí tyto retentory i 5 až 10 let, jiní jen pár let. Ale všechny ortodonti doporučují: nesundávejte je, dokud vám to neřeknou.
Bez retentoru se zuby mohou vrátit do původní polohy, i když jste měli rovnátka 2 roky. To není příliš časté - ale když se to stane, je to frustrující. Většina lidí, kteří se vrátili k ortodontovi po roce, kdy sundali rovnátka, se ptají: „Proč se to znovu zhoršilo?“ Odpověď je jednoduchá: zuby nezapomněly, kde byly.
Je to bolestivé?
Ne, nejsou to žádné tortury. Ale někdy to bolí. Když se nasadí nový drát nebo se změní gumičky, zuby se začnou pohybovat. To způsobí tlak - a ten může být nepříjemný. Obvykle to trvá 2-4 dny. Pak to přejde.
Nejčastější bolest je v prvních týdnech, kdy se zuby začínají přesouvat. Někdo to má jako lehké tlaknutí, někdo jako zářez. Můžete si dát měkkou stravu, použít přírodní úlevu - například chlazené čajové pytlíky nebo speciální ortodontický vosk, který se přilepí na ostré konce drátů. Nejde o bolest, která by vás zastavila - jde o nepříjemnost, která je částí procesu.
Ve většině případů lidé říkají: „Po týdnu jsem to vůbec nečekal.“ A pak si ani nevzpomínají, že to kdysi bolelo.
Co se dá udělat, aby to šlo rychleji?
Neexistuje zázračný způsob, jak zrychlit rovnátka. Ale existují věci, které je mohou zpomalit - a ty je třeba vyhnout.
- Nesnězte tvrdé potraviny - ořechy, jablka, čokolády s oříšky, karamelové bonbony. Můžou zlomit drát nebo vytrhnout plechovku.
- Nepijte sladké nápoje - cukr způsobuje zubní kávovinu, která se těžko čistí pod dráty.
- Nesnězte gumičky - ano, někteří je jedí, protože jsou barvité. To je špatný nápad. Nejenže se ztratí, ale i zubní kávovina se rozšíří.
- Neměňte gumičky sami, pokud vám ortodont neřekl, jak to dělat. Některé typy potřebují specifické napětí.
- Nepřestávejte čistit zuby. Pokud se mezi zuby a dráty hromadí zbytky jídla, může dojít k poškození skloviny.
Pravidelné čištění, správná strava a dodržování návštěv jsou jediné „rychlíky“ - a jsou účinnější než jakýkoliv reklamní „zrychlovač“.
Proč to dělat? Co je výhodou?
Fixní rovnátka nejsou jen o krásném úsměvu. Jsou o zdraví. Zuby, které jsou špatně vyrovnány, zatěžují čelistní klouby, způsobují bolest hlavy, škrábání zubů v noci, problémy s žvýkáním a dokonce i s řečí. Někteří lidé mají potíže s hlasem, protože zuby nejsou na správném místě.
Pravidelné čištění je těžší, když jsou zuby křivé - a to zvyšuje riziko kávovin, zánětů dásní a ztráty zubů v pozdějším věku. Po rovnátkách se čistí zuby snadněji, lépe se žvýká, méně bolestí hlavy, a člověk se cítí jistěji.
Většina dospělých, kteří si nechali rovnátka nasadit, říká: „Měl jsem to udělat už před 10 lety.“ A většina dětí, které je mají, se k nim brzy zvykne - a pak si ani nevzpomínají, že to kdysi nesnášeli.