Zkontrolujte příznaky zánětu v mrtvém zubu
Zkontrolujte, zda zaznamenáváte některý z příznaků zánětu v mrtvém zubu. Pokud ano, je třeba okamžitě navštívit zubního lékaře.
Stále vás trápí bolest v zubu, i když vám lékař řekl, že je nerv mrtvý? To není náhoda. Mrtvý zub neznamená bezbolestný zub. Naopak - právě když se nerv zahynul, může začít probíhat skrytá infekce, která se projeví až později. A když se to stane, bolest může být tak silná, že vás nesmíte ignorovat.
Proč mrtvý zub může bolet?
Když zubní nerv zemře, neznamená to, že všechno v zubu je v pořádku. Naopak - zemřelý nerv přestává signalizovat bolest, ale bakterie zůstávají. Ty se rozmnožují v kořeni zubu, v kosti kolem něj, nebo v zubním korytě. Vzniká zánět v mrtvém zubu, který se nazývá apikální periodontitida. Toto je infekce, která se šíří zvnitřku zubu ven, do okolní kosti. A to je ten moment, kdy začne bolet.
Nejčastější příčina? Nekvalitní endodontie (léčba kanálků), která neodstranila všechny bakterie. Nebo zub, který už byl mrtvý dlouho, ale nebyl ošetřen. Bakterie se zde mohou rozmnožovat měsíce, dokonce roky, než se projeví.
Jak poznat, že máte zánět v mrtvém zubu?
Není to jen taková „lehká bolest“. Tyto příznaky jsou jasnější a silnější:
- Stálá, pulzující bolest - nejen při kousnutí, ale i v klidu. Často se projevuje v noci.
- Bolest při lehkém tlaku - když jen lehce dotknete zubu jazykem nebo prstem, cítíte tlak nebo bolest.
- Zvětšené lymfatické uzliny - pod čelistí nebo v krku. Cítíte je jako tvrdé, bolestivé „kuličky“.
- Zánětlivý otok dásně - okolo zubu se objeví červený, zvětšený a bolestivý otok. Může se rozšířit i na tvář.
- Zápach z úst - i když si čistíte zuby, zůstává zápach, který neodpovídá běžnému „zubnímu“ zápachu. Je to zápach „hniloby“.
- Polohová bolest - když se nakloníte dopředu nebo ležíte, bolest se zhoršuje. To je kvůli nárůstu tlaku v oblasti kořene.
- Žlutý nebo hnědý výtok z dásně - pokud se vytvoří pustula (malý vřídek), může z něj vytékat hnis. To je jasný signál, že infekce je aktivní.
Tyto příznaky se neobjeví najednou. Většinou začnou pomalu - nejprve jen nepříjemný pocit, pak přibývá bolest, až se objeví otok. Pokud máte některý z těchto příznaků, nečekáte na „to, až to přejde“.
Co se stane, když to ignorujete?
Zánět v mrtvém zubu není jen problém jednoho zubu. Bakterie se šíří do kosti, do sousedních zubů, do dásní a dokonce do krve. To může vést k:
- Ztrátě zubu - když se kost kolem kořene zničí, zub se rozchvěje a padne.
- Abscesu - velký hnisový váček, který může způsobit horečku, otok tváře a dokonce závažnou infekci krve.
- Infekci čelisti - osteomyelitida, která vyžaduje dlouhodobou léčbu antibiotiky a operaci.
- Infekci srdce nebo mozku - v extrémních případech, kdy bakterie vstoupí do krevního oběhu. To je vzácné, ale možné.
V Brně jsem viděla pacienty, kteří přišli s otokem tváře, který jim zablokoval dýchání. To není „pouhá bolest zubu“. Je to nouzová situace.
Co dělat, když podezříváte zánět?
Nečekáte na příští termín u zubního lékaře. Pokud máte tyto příznaky:
- Zavolejte zubního lékaře hned - řekněte, že máte zánět v mrtvém zubu a potřebujete okamžitý příjem. Většina klinik má pro takové případy „nouzové termíny“.
- Nepoužívejte domácí léky jako jediné řešení - ibuprofen nebo paracetamol zmírní bolest, ale nevyléčí infekci. To je jen dočasná pauza.
- Nepokoušejte se „vysát“ hnis - to může způsobit šíření infekce do krevního oběhu.
- Nepoužívejte horké komprese - horko zvyšuje otok. Používejte studenou, pokud je otok viditelný.
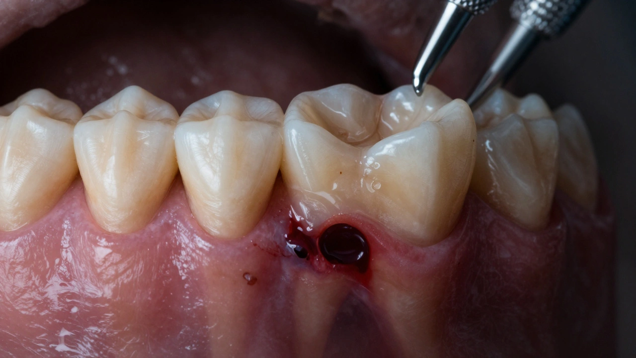
Zubní lékař provede rentgen a zjistí, zda je infekce v kořeni, v kosti nebo obou. Pokud je zub ještě zachránitelný, provede se reendodontie - znovu očistí kanálky a zub se znovu zapečetí. Pokud je kost příliš poškozená, zub se musí vyjmout.
Co můžete dělat doma, abyste zabránili zánětu?
Pokud máte mrtvý zub, který už byl ošetřen, ale nejste si jistý, že je v pořádku:
- Pravidelně se vyšetřujte - každých 6-12 měsíců. Rentgen zubního kořene je nutný, i když nebolestí.
- Udržujte výbornou hygienu - čištění zubů dvakrát denně, nitě a ústní voda s chlorhexidinem (podle doporučení lékaře).
- Vyhněte se sladkému - cukr je jídlo pro bakterie. I když je zub mrtvý, bakterie v okolí se živí cukrem a šíří se.
- Nezapínejte zuby - bruxismus (zatížení zubů) může poškodit už oslabený zub a způsobit mikrotrhliny, kde se bakterie usadí.
Je možné zub zachránit, i když je mrtvý a zanětlivý?
Ano - ale jen pokud se zákrok provede včas. Více než 80 % mrtvých zubů s mírným zánětem lze zachránit reendodontií. Pokud je infekce rozšířená do kosti, zub může být zachráněn, ale potřebuje delší léčbu a častější kontroly.
Pokud je zub poškozený natolik, že se nejde očistit, nebo je kost příliš zničená, je jediným řešením vyjmutí. To ale neznamená konec. Následně můžete zvolit zubní náhradu - implantát, most nebo zubní protézu.
Nikdy neříkejte: „Je to jen mrtvý zub, což je mi jedno.“ Mrtvý zub není nevinný. Je to potenciální zdroj infekce, která může zničit vaše zuby, kosti a dokonce celé zdraví.
Může mrtvý zub bolet bez zánětu?
Ne. Pokud je nerv skutečně mrtvý a není žádná infekce, zub by neměl bolet. Pokud bolest přetrvává, je to znamení, že probíhá zánět v kořeni nebo v kosti kolem zubu.
Je možné, že zánět v mrtvém zubu nebočí žádnými příznaky?
Ano, ale je to vzácné. V některých případech se infekce rozvíjí pomalu a bez bolesti - ale rentgen ukáže zničenou kost. Proto je důležité pravidelně dělat kontrolní snímky, i když nic nebojíte.
Může zánět v mrtvém zubu způsobit bolest v jiném zubu?
Ano. Infekce se může šířit do sousedních zubů nebo do dásně a způsobit bolest v jiné oblasti. Mnoho lidí si myslí, že bolest je v jiném zubu, když ve skutečnosti je zdrojem ten mrtvý zub.
Jak dlouho může trvat, než se objeví příznaky zánětu?
Od několika týdnů až do několika let. Některé infekce se rozvíjejí pomalu a bez příznaků. Jiné se objeví náhle, například po zranění nebo po zvýšeném stresu těla.
Je bezpečné plavat nebo jít do sauny, když máte zánět v mrtvém zubu?
Ne. Teplotní výkyvy (horká sauna, studená voda) mohou zhoršit otok a bolest. Plavání v chlorované vodě může dráždit dásně. V této fázi je nejlepší vyhýbat se extrémním teplotám a fyzickému zatížení.